
“Piccolo” Distal Fibula Plate
• Made of continuous carbon Fibers reinforced polymer.
• Two types of Fibula plates are available:
– Anatomical Distal Fibula plate.
– One Third Tubular plate.
• Low profile: plate thickness 2.3mm.
• Polyaxial locking screws – up to 10° trajectory variation.
• Screw holes accommodate both locking and non locking screws.
• Circumference radiopaque marking outlining plate contour for positioning & follow-up.
• CarboFix Fibula plates are FDA cleared and CE marked.
Features
• Radiolucent: Superior fracture imaging.
• Unparalleled fatigue strength.
• Improved modulus of elasticity.
• No cold welding.
Available sizes
|
Plate
|
Orientation
|
No. Shaft holes
|
Length
(mm) |
|
Anatomical Distal Fibula
|
Right / Left
|
4/6/9/11
|
85/114/155/184
|
|
One Third Tubular
|
Universal
|
5/6/7/9/11
|
56/67/78/98/122
|
* CarboFix nails & plates are supplied sterile
** CarboFix nails & plates are also known as Piccolo Composite® nails & plates





Polyaxial locking screws
CarboFix - Technology & Features

Technology & Features
CarboFix nails, plates, and pedicle screws are made of continuous carbon fibers reinforced polymer.
The Polymer (PEEK) adhere the fibers together.
The continuous carbon fibers are layered in a unidirectional, longitudinal orientation, as well as in helical / diagonal orientation.
The material makes the CarboFix implants radiolucent, which is beneficial during surgery and follow up.
This composite material enables MRI & CT scan with no, or minimal artifacts for better soft tissue visualization. The material enables radiation therapy with no backscatters.
CarboFix implants portfolio includes, among others:
• Intramedullary nails for Humerus, Tibia & Femur, as well as Ankle Arthrodesis nail
• Plates for Distal Radius, Proximal Humerus & Distal Fibula and others
• Pedicle Screws & Rods

Carbon Fibers Orientation in the CarboFix Nails


CarboFix - Radiolucency

Radiolucency
• CarboFix implants are radiolucent, offering improved fracture and tissue imaging intra-op & post-op.
• The fracture line can be seen clearly through the implant which does not disrupt the view.

Nails



Plates


• The Distal Radius & Proximal Humerus plates Targeting Guides are radiolucent as well: better visualization in AP/lateral intra-operatively.
Radiolucent Targeting Guide attached to the Proximal Humeral Plate


Intra-OP lateral view of the Proximal Humeral Plate with attached Targeting Guide


Radiopaque markers
• CarboFix “Piccolo” implants are marked with radiopaque markers for easy positioning and follow- up.
The nail markers
There are several markers, embedded in the nail, which enable visualization under fluoroscopy:
Marker along the longitudinal axis


Marker on the proximal end


Markers located of both sides of each hole


Targeting the nail distal holes
• Around each distal hole there are radiopaque mini rods embedded in the nail.
• Upon proper positioning the two markers on each side of the hole are merged into a single dot.
Incorrect alignment of the distal hole markers


Correct alignment of the distal hole markers


CarboFix nails distal markers video

The plate marker
• The plate contour is marked with a circumferential radiopaque marker.
Distal Radius Plate circumference radiopaque marker


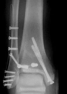
Distal Fibula Plate circumference radiopaque marker



CarboFix - MRI, CT & Radiation Therapy

MRI, CT & Radiation Therapy
• The CarboFix implants allow CT & MRI scans with no/minimal artifacts caused by the carbon fibers implant.
• Clear imaging of the soft tissue surrounding the bone is advantageous in pathological cases.

MRI of a Humeral pathological fracture fixated by a CarboFix nail


Conventional metal implant: Massive artifacts


MRI of a CarboFix Pedicle Screws: No artifacts


MRI of a Metal Pedicle Screws: Massive artifacts


Pathological long bone Cases



Advantageous in pathologies
• Carbon fiber implants have radiation properties similar to biological tissues:
– Enables precise pre-radiation CT planning
– Minimal dose perturbation effects compared to metal implants:
– No backscattering or attenuation


CarboFix - Biomechanical properties

Biomechanical properties
Improved modulus of elasticity
The modulus of elasticity of the composite material is close to that of cortical bone. This might lower the risk for stress risers and secondary fractures, as well as to contribute to early fracture healing.
Modulus of Elasticity


Unparalleled fatigue strength
In comparative fatigue experiments of Ø8.5mm nails, a Titanium rod failed after 40,000 cycles, a Stainless Steel rod failed after 440,000 cycles, and the CarboFix nail did not fail even after 4,000,000 cycles.
Nails Fatigue Strength


Plates Fatigue Strength
CarboClear Pedicle Screws System: Unparalleld Fatigue Strength

CarboFix plates: superior bending strength
Comparison bending strength test of Titanium, Stainless Steel and CarboFix “Piccolo” Diaphyseal plates was performed. CarboFix “Piccolo” plates were shown to have a higher bending strength than metal plates.
Superior Bending Strength



CarboFix - Publications

CarboFix Trauma Publications
Carbon fibre/polyether ether ketone (CF/PEEK) implants in orthopaedic oncology >>
Christoph J. LauxEmail authorView ORCID ID profile, Sandro M. Hodel, Mazda Farshad and Daniel A. Müller
World Journal of Surgical Oncology201816:241
https://doi.org/10.1186/s12957-018-1545-9© The Author(s). 2018
Received: 31 July 2018Accepted: 17 December 2018Published: 28 December 2018
Philip N. Collis, Travis E. Clegg, David Seligson
Published in Injury, 2011 Apr; 42(4):424-6
Ely L. Steinberg, Ehud Rath, Amir Shlaifer, Ofir Chechik, Eran Maman, Moshe Salai
Published in Journal of the Mechanical Behavior of Biomedical Materials, Epub 2012 Oct 11
Utility of Carbon Fiber Implants in Orthopedic Surgery: Literature Review >>
Ronald Hillock, Shain Howard
Published in Reconstructive Review, Vol. 4, No. 1, March 2014
Carbon fiber intramedullary nails reduce artifact in postoperative advanced imaging>>
Melissa N. Zimel & Sinchun Hwang & Elyn R. Riedel & John H. Healey
Published in Skeletal Radiology, May 2015
Rosenthal H.
Presented at the MSTS meeting 2013.
Carbon Fiber Fixation In Oncologic Bone Surgery >>
Daniel C. Allison & Lawrence R. Menendez
Presented at the MSTS meeting 2013.
Daniel E. Prince; Dror Paley; Matthew Harris
Presented at the MSTS meeting 2013.
Carbon Fiber Intramedullary Nail Fixation in Troublesome Long Bone Fractures & Nonunions >>
Daniel C. Allison
David J. Hak, Cyril Mauffrey, Todd Oliver
Presented at the EFORT meeting 2013
Adam W. Rives, MD
Implantation of Carbon-Fibers-PEEK Intramedullary Humeral nail for Trauma and Pathological Fracture Fixation – a Multi-Center, International Retrospective accumulated experience >>
Christoph Rangger, Celenk, Özgün, Yoram Folman, Niksha Koijc
Presented at the OTA meeting 2013
D. Wilson, M. Mills, B. Wang
Presented at the AAPM meeting 2014
Preliminary Experience with Carbofix – Radiolucent Distal Fibula Plate In Ankle Fractures >>
Pietro Maniscalco
Presented at the AOFAS meeting 2014
Melissa N. Zimel, Sinchun Hwang, NicolaFabbri, Patrick J. Boland, John .H Healey
Presented at the MSTS meeting 2014.
Use of Carbon Fiber Reinforced Composite Implants in Orthopedic Surgery >>
David J. Hak; Cyril Mauffrey; David Seligson; Bennie Lindeque
Published in Orthopedics 2014; 37(12): 825-830.
Marco Caforio a, Dario Perugia, Massimiliano Colombo, Giorgio Maria Calori, Pietro Maniscalco
Published in Injury, Int. J. Care Injured 45S (2014) S36–S38
Pietro Maniscalco, Marco Caforio, Giulia Groppi, Daniele Vallisa, Luigi Cavanna
Presented at the EFORT meeting 2015
The Carbon Fiber Intramedullary Nail in Pathological Humeral Shaft Fractures: Two Case Reports >>
Maniscalco Pietro, Caforio Marco, Groppi Giulia, Vallisa Daniele, Cavanna Luigi
Published in Jacobs Journal of Orthopedics and Rheumatology, Sep. 2015
Carmine Zoccali , Antonella Soriani, Barbara Rossi, Nicola Salducca , Roberto Biagini
Published at Journal of Orthopaedics 13 (2016) 343–346
Matteo Guzzini, Riccardo Maria Lanzetti, Domenico Lupariello, Federico Morelli, Giorgio Princi, Dario Perugia, Andrea Ferrett
Published at Injury. 2017 Mar 27. S0020-1383(17)30160-2
Exploring Carbon Fiber Fixation In The Lower Extremity >>
Michael B. Canales, DPM, FACFAS, Ashley M. Mandela, DPM, Joshua Fisher, DPM, Bradley Benson, DPM, Gurneet Khangura, DPM
Published at Podiatry Today, Volume 30 – Issue 6 – June 2017
Andrea Picciolia, Raimondo Pianab, Michele Lisantic, Alberto Di Martinod, Barbara Rossie, Francesco Camnasio, MarcoGatti, Pietro Maniscalco, FrancoGherlinzoni,Maria Silvia Spinelli,Davide Maria Donati, Roberto Biagini, Rodolfo Capanna, Vincenzo Denarod, The Italian Orthopaedic Society (SIOT) Bone Metastasis Study Group
Injury, Int. J. Care Injured 48S3 (2017) S55–S59
Bruno Di Maggio, Pasquale Sessa, Patrizia Mantelli, Pietro Maniscalcoc, Fabrizio Rivera, Giorgio Maria Calori, Luigi Bisogno, Gabriele Scaravillia, Marco Caforio
Injury, Int. J. Care Injured 48S3 (2017) S34–S38
Hak DJ, Fader R, Baldini T, Chadayammuri VBS.
International Orthopaedics (SICOT) DOI 10.1007/s00264-017-3562-7 (2017)
Comparison between Carbon-Peek volar locking plates and titanium volar locking plates in the treatment of distal radius fractures >>
Dario Perugia, Matteo Guzzini, Daniele Mazza, Carlo Iorio, Carolina Civitenga, Andrea Ferretti
Injury, Int. J. Care Injured 48S3 (2017) S24–S29
N. Kojica, C. Rangger, C. Özgün, J. Lojpur, J. Mueller, Y. Folman, E. Berhbalk, B. Bakota
Injury, Int. J. Care Injured 48S5 (2017) S8–S11
A Retrospective Case Series of Carbon Fiber Plate Fixation of Ankle Fractures >>
Z. W. Pinter, Kenneth S. Smith, P. W. Hudson, C. W. Jones, R. Hadden, O. Elattar, A. Shah
Foot & Ankle Specialist vol. 11 / no. 3
Mitchell, Phillip, M.; Lee, Adam, K.; Collinge, Cory, A.; Ziran, Bruce, H.; Hartley, Kate; Jahangir, A., Alex
Journal of Orthopaedic Trauma, May 16th, 2018. Published ahead of print
Carbon fiber implants aid fixation of extremity fractures in oncology cases >>
Richard W. Gurich Jr., MD; Matthew J. Thompson, MD
Orthopedics Today, October 2018
Bruce H. Ziran, MD, FACS and Robert Harris, MD
J Orthop Trauma 2018

CarboFix Spine Publications
Boriani, Tedesco, Ming, Ghermandi, Amichetti, Fossati, Krengli, Mavilla, et al.
Published at European Spine Journal DOI 10.1007/s00586-017-5258-5 (2017)
Tedesco, Gasbarrini, Bandiera, Ghermandi, Boriani
Published at Journal of Spine Surgery, 2017
Perturbation effects of the carbon fiber-PEEK screws on radiotherapy dose distribution >>
Nevelsky, Borzov, Daniel, Bar-Deroma Published at J Appl Clin Med Phys.
2017 Mar;18(2):62-68.
“Invisible” Pedicle Screws of Carbon Fiber Technology >>
Reuven Gepstein, Stefano Boriani, Niksa Kojic, Jakisa Lojpur, Velimir Lupret
Presented at the WCMISST 2014
Carbon Fiber Pedicle Screws: Evolution of Spinal Fusion Hardware for improved patients follow-up >>
R. Gepstein, I. Engel, E. Barbalak, Y. Folman
Presented at the Israeli Annual Spine Meeting 2016
Russo, Mastella, Molinelli, Mirandola, Panizza, Fossati, Boriani
Lumbo-Pelvic Fixation using off-the-shelf fully radiolucent hardware >>
S. Marone, G.Collo, M.Boffano,E.Boux, U.Albertini, A.Ferro, P. Pellegrino, N. Ratto, R. Piana Oncologic Presented at the BMB Spine Meeting 2017



